OU Health in Oklahoma City is teaming with McAlester Regional Health Center to provide adult neuroscience services to people in southeastern Oklahoma. ...
Whether you're still pregnant or your little bundle is already in your arms, you're likely spending a lot of time thinking about how and where your ...
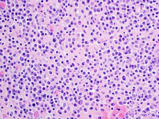
When Patrisha Nicholson of Edmond decided to discontinue treatment for acute myeloid leukemia, she agreed to enroll in a pioneering study being ...
2021 was a big year for Oklahoma City-native Dana Hatch. She just celebrated a milestone birthday and her third wedding anniversary with a trip to the ...
As a leader in stroke care, OU Health is bringing the first computer-aided triage system approved by the United States Food and Drug Administration ...
In the process of aging, many older adults bear the heavy burden of dementia and vascular cognitive impairment, conditions that can rob them of ...
March is National Multiple Myeloma Awareness Month, and State Representative Ajay Pittman-D, House District 99 is joining specialists at OU Health ...
In an effort to help pediatric specialists provide the most advanced cardiac care to their patients, the Oklahoma Children’s Hospital Heart Center ...
We’re a small facility, but we’ve got big hearts.” Those are the words of OU Health Edmond Medical Center employee Antonio “Tony” Townsend, who may ...